Beginning Stages
Of Gum Disease



The beginning stages of gum disease can be almost unnoticeable. You can even get to the stage of pretty bad gum disease, and yet not notice anything wrong! But if you DO notice any symptoms, you should pay a visit to your dentist and arrange to see the hygienist also.

What symptoms or signs might you notice in the beginning stages of gum disease?

The first thing most people notice is the gums bleeding a little when they brush their teeth. Frequently patients tell me that they have brushed too hard because they saw some blood when they rinsed out.

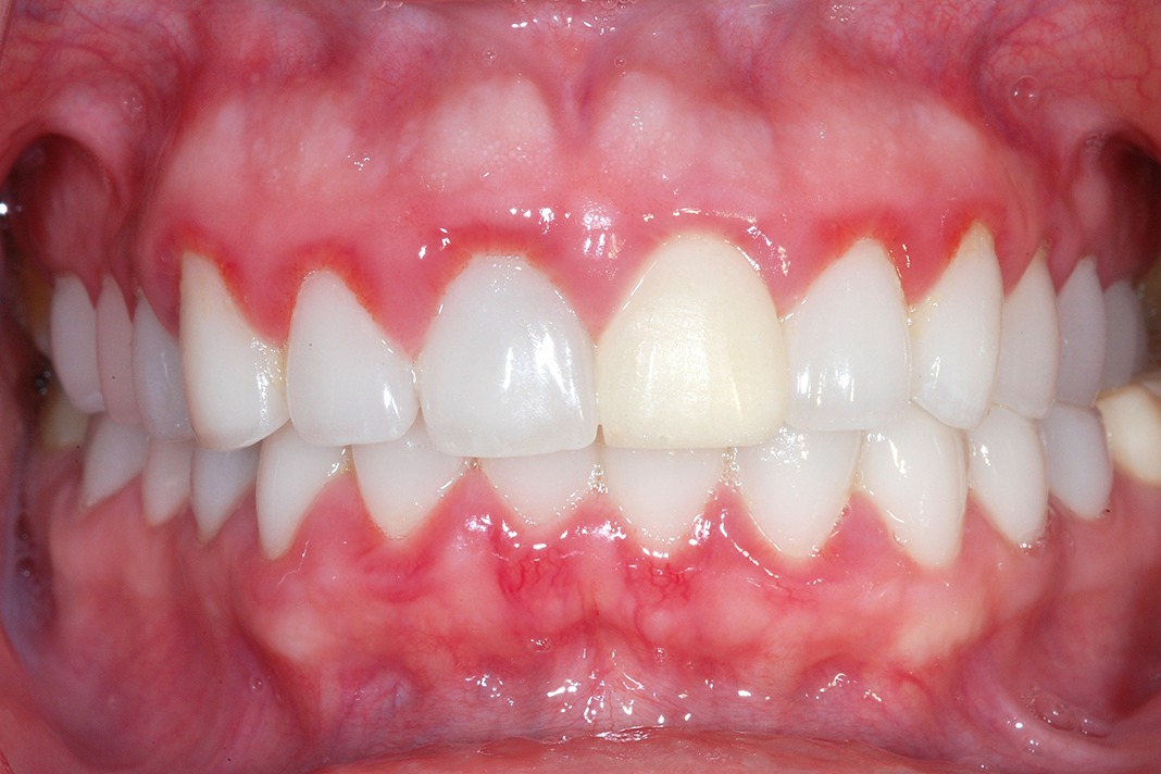
Close-up of teeth showing red gum edgesGingivitis with red gum edges

But bleeding on brushing is NOT caused by brushing too hard! (Unless you're using a wire brush!). Bleeding on brushing is caused by the gums being inflamed in the first place. That's the FIRST gum disease symptom.

The inflammation is caused by bacteria collecting in a sticky film on the teeth. Your gums recognize the bacteria as being "foreign", and react. Like a splinter in your finger.

The sticky film of bacterial plaque is very difficult to see because it is the same color as the tooth enamel. It usually collects at the edge of the gum, where the tooth meets the gum.

Most people brush their teeth in a way that cleans the biting surfaces of the teeth and the sides of the teeth, but they frequently miss the edge of the gums. This is what allows the plaque to accumulate next to the gum. This can just a few teeth, or many teeth, depending on your brushing pattern.

Once a certain amount of plaque has built up, for long enough, the gum tissues start to get irritated. If you look very closely, you may see that the edge of the gum right next to the tooth surface has become a little bit red. This is called "gingivitis". This comes from the words "gingiva" for gums, and the usual "itis" for inflammation.

You may also notice that your gums are a little puffy or swollen. Healthy gums should lie flat against the tooth. Your gums may appear red. Healthy gums should be pale pink.

Anything else?

Other gum disease symptoms may include a bad taste in your mouth, or bad breath.

Beginning Stages
Of Gum Disease

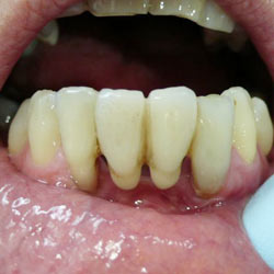
As gum disease slowly progresses over the course of months and years, you will see your gums slowly receding, exposing the roots of your teeth. This recession cannot be reversed, except (in some cases) by extremely delicate gum surgery in the hands of a gum expert. Much better to prevent the problem in the first place!

The lower front teeth of a person with gum diseasegum disease symptoms

In the later stages of gum disease, your teeth will start to wobble, and become loose. You will notice that you cannot chew things properly, because your teeth will become tender to bite with. If you can put up with the discomfort, one or two teeth may even fall out themselves.

At this late stage, there is NO TREATMENT available to help. Your teeth will either fall out themselves or become so painful that you will beg a dentist to pull them for you. And then your only options are plastic dentures, or costly implants and a bridge.

It's important not to ignore any gum disease symptoms!

As soon as you notice anything wrong like gums bleeding when you brush or floss, get yourself along to a dentist and hygienist, and ask the hygienist for her best advice. She will be used to people ignoring what she recommends, so it will be a nice change for her to have an interested patient!

To read how to prevent these problems, take a look at my page on How to fight gum disease.

But to give you the most important point right here - you need to get the plaque off your teeth every day. One of the most efficient ways is by using a good toothbrush - I recommend the Cybersonic 3 Sonic toothbrush. The Cybersonic 3 is an excellent sonic toothbrush designed by a dentist. It comes with extra brush heads and a tongue cleaning tip. It is excellent value when compared to the big-name brands.

An extra cleaning method when you have gum disease is to use a HydroFloss oral irrigator (available from Amazon) with a capful of TheraBreath Perio Rinse added to the water in the water tank. If you use the fine "Pocket Pal" tips, you can clean effectively under the gum edges where the plaque can escape from toothbrushing.

The Perio Rinse will release oxygen under the gum, killing the plaque bacteria. I recommend the Perio Therapy System Kit from TheraBreath, which comes with a gel for treating periodontal pockets.

I hope my guide to the beginning stages of gum disease has been helpful for you.

Back to Top


  1. Dental Advice
  2. How To Fight Gum Disease
  3. Beginning Stages Of Gum Disease