How To Stop
Tooth Pain



How to stop tooth pain depends on the cause of your pain. There are SEVEN common causes of tooth pain, and pinning down the cause of YOUR pain will help you to treat it effectively.

Here are the most common causes of tooth pain:

  • Decay causing a cavity in a tooth
  • A cracked or broken filling
  • A cracked or broken tooth
  • Gum disease
  • An infection or abscess
  • Root sensitivity
  • Grinding your teeth at night (bruxism)
  • Jaw joint pain (TMD or TMJ)
A black woman wearing a blue top holding her cheek and wincing in painHow to stop tooth pain

How To Stop
Tooth Pain

Let's take a closer look at each cause of tooth pain, and what you can do to help each one.

1. A cavity in a tooth.

A tooth cavity in an upper molar toothPhoto credit: Teresa Trimm on Visualhunt.com

Decay in a tooth is caused by bacteria collecting on the surface of the enamel and producing acids which demineralize the enamel. This process is speeded up if you drink a lot of acidic drinks like sodas.

Once a cavity starts to form, it is impossible to reverse the process. There is no way to grow the enamel back. The cavity gradually increases in size until it looks like the picture above. This cavity will be causing significant tooth pain.

At first, when the cavity was smaller, the tooth would become sensitive to cold drinks and cold water. At this early stage, nothing else would bother the tooth, only cold and maybe acidic drinks. As time passes, this sensitivity which initially lasted seconds would start to last for a minute or two.

Next, the tooth would start to ache at times without any cold on it. Warm drinks would calm the tooth down. After more time has passed, the tooth would then become sensitive to both hot AND cold, and ache could last for an hour or so. It may even come on in the night without any temperature extreme being applied.

Finally, as the nerve in the tooth is dying, the tooth becomes very sensitive to heat, even the warmth of the cheek, and cold water makes it feel better.

2. A cracked or broken filling

Close-up of two molar teeth and a broken fillingPhoto credit: Alice Chaos on VisualHunt.com

In the image above, a metal filling has broken leaving behind a cavity with exposed tooth dentine. Sometimes a filling will break because decay has gotten in underneath the filling and weakened its base; sometimes a filling will crack and break due to the forces placed on it.

Either way, you are left with an open cavity in the tooth. This is usually (but not always) sensitive to temperature changes and getting food in the cavity.

How To Stop
Tooth Pain

3. A cracked or broken tooth

Close-up of a broken tooth on the upper right jawPhoto credit: Ben Sutherland on Visualhunt

In the image above a piece of tooth has broken off the tooth on the left. This leaves exposed dentine, which will be sensitive to temperature changes, cold air, and acidic drinks.

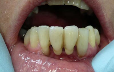
4. Gum disease

Close-up view of lower incisor teeth with receding gumsgum disease and receding gums

If you have gum disease, then over time the gums will start to recede, exposing the roots of the affected teeth. The gums will be tender and painful, and spaces will start to appear between the teeth as the gum shrinks.

5. A tooth infection or abscess

A woman with a swollen face due to a dental abscess.Swollen face from a dental abscess

In the image above, the lady has a swelling on her left cheek due to a dental abscess. The swelling is mostly due to inflammation in the cheek, but inside the mouth there is usually a lump on the gum that is full of pus.

6. Root sensitivity

gum disease 1root sensitivity

If you have exposed roots, the affected teeth will be sensitive to heat and to cold, as well as to brushing.

7. Clenching or grinding your teeth at night

Many people clench or grind their teeth while they are asleep at night. This can have 2 main effects; First, the teeth will start to wear down. Although tooth enamel is the hardest substance in the human body, when upper and lower teeth grind on each other, it is enamel rubbing on enamel. The surfaces get worn away, and the affected teeth can become sensitive.

Second, the intense clenching puts a strain on the muscles around the head, and on the jaw joint (TMJ). This can result in jaw joint pain.

How To Stop
Tooth Pain

So, what actually works to stop tooth pain?

1. For a cavity, a broken tooth or broken filling, you can buy yourself some time before seeing a dentist by getting a temporary filling material from your drugstore or pharmacy. If you can put some filling material into the cavity or broken section of tooth, it will protect the exposed dentine and reduce the sensitivity.

One other trick for a cavity like that is to get some oil of cloves, put a few drops onto a small cotton wool ball, and use tweezers to put the cotton wool ball into the cavity - assuming you can see the cavity, so far back. This works as an anesthetic on the tooth nerve.

If you are having toothache from the tooth, you should use the 3 x 3 x 3 technique. This is 3 Ibuprofen tablets (600mg), 3 times a day (ie. every 8 hours), for 3 days. Be sure to stick to the regime for 3 days, even if the tooth seems to have settled down.

If you are in a lot of pain, there is a very specific regime using over-the-counter products that provides a high level of pain control: take 600 mg of ibuprofen (3 standard Advil tablets) WITH 1000 mg acetaminophen (2 Extra-Strength Tylenol), and repeat every 6 hours, as needed.

Don't exceed 3 grams of acetaminophen (6 Tylenol tabs) a day, and don't take it in combination with alcohol. Do not use this if you have a peptic ulcer, or liver/kidney disease. This should help your pain until you can get to see a dentist.

2. If you have gum disease and sore gums, there are a few things you can do;

1. Rinse the affected gum area with hot salt water 5 times a day
2. In between times, rinse with any mouthwash that contains Chlorhexidine Gluconate, like Peridex, once a day for 15 days.
3. Use a very soft toothbrush, or get an electric toothbrush, with a round brush head (Oral B)
4. Combine the brushing with a water flosser, like a Water Pik
5. If you can't get a water flosser, floss with conventional floss every day
6. Avoid smoking or cut down (if you are a smoker)

3. Tooth infection or abscess.

If you have a tooth infection or an abscess, you need antibiotics to bring it down until you can see a dentist. Here are your other options for immediate treatment:
1. You can try phoning your dentist's emergency number for help.
2. You can go to your nearest Urgent Care Center or ER. The doctors there will examine you and prescribe any medicine you may need to treat an infection, as well as any medication to manage the pain.
3. There is an online service called “theteledentists.com”. This site offers a live virtual consult with a dentist licensed in your state, which allows the dentist to prescribe any medicine you may need.
4. Also, take a look at https://dental.com/ to be connected to a dentist in your state.

IF YOU ARE IN THE UK, you can try this service - https://www.emerdency.co.uk/ , if NHS111 is unable to help.

In the meantime, If you are in a lot of pain, there is a very specific regime using over-the-counter products that provides a high level of pain control: take 600 mg of ibuprofen (3 standard Advil tablets) WITH 1000 mg acetaminophen (2 Extra-Strength Tylenol), and repeat every 6 hours, as needed.

Don't exceed 3 grams of acetaminophen (6 Tylenol tabs) a day, and don't take it in combination with alcohol. Do not use this if you have a peptic ulcer, or liver/kidney disease. This should help your pain until you can get to see a dentist.

Also, rinsing the affected gum area with hot salty water is something that you should do every 2 hours, for it to work well. You should make up a cup of hot water with half a teaspoon of salt, take a sip, and hold it over the gum area. After you feel the heat fading (usually 15 to 20 seconds), spit out and take another sip.

Do this 4 to 5 times. And then repeat the process every 2 hours.  You can also put a cold pack on any swelling outside of your cheek for 6 to 8 minutes at a time, to help take down the swelling. Don't put anything hot on the outside of your face.

How To Stop
Tooth Pain

4. Root sensitivity.

A tooth may become very sensitive due to some of the root being exposed if the gum has receded. If you can see some recession of the gum, and the tooth reacts painfully to cold air or water, there are 2 things you can do. First, you should use the 3 x 3 x 3 technique. This is 3 Ibuprofen tablets (600mg), 3 times a day (ie. every 8 hours), for 3 days. Be sure to stick to the regime for 3 days, even if the tooth seems to have settled down.

Second, you should get some Sensodyne toothpaste, and apply a small smear directly to the sensitive tooth with your finger. This is much more effective than just brushing with it. Also, if you have tooth whitening splints or retainers, you can put a little Sensodyne inside the splint so that it stays in place over the tooth for longer.

5. Clenching or grinding your teeth at night.

Use Sensodyne to brush your teeth, and also apply a small smear directly to any individual teeth that are particularly sensitive.

If you have pain in your jaw joints, you should use the 3 x 3 x 3 technique. This is 3 Ibuprofen tablets (600mg), 3 times a day (ie. every 8 hours), for 3 days. Be sure to stick to the regime for 3 days, even if the jaw seems to have settled down. You can also put a cold pack over your painful jaw joint for 6 to 8 minutes at a time, to help reduce the inflammation.

As a longer term solution, your dentist can make up an acrylic splint or night bite guard. This will reduce tooth sensitivity and reduce pressure on the jaw joint.

THREE things that do NOT work and may be harmful:

  • Do not apply Aspirin directly to a tooth or gum. It will cause an Aspirin burn, resulting in a canker sore, and will not help your tooth pain much at all.
  • Do not apply alcohol directly to a tooth. I have seen some recommendations for using neat vodka or whisky to a tooth. This does nothing for the pain, and keeping strong alcohol in one place for long will damage the gum tissues.
  • Using essential oils or "oil pulling". This is like snake oil, it doesn't work, and upsets the balance of bacteria in your mouth.

Back to Top

  1. Dental Advice
  2. How To Stop Tooth Pain